Disclaimer: The information provided in this article is not a substitute for professional veterinary help. See your veterinarian for advice suited specifically to your dog.
If you’re like most pet parents, you probably think your dog’s stinky breath is normal, so you ignore it. But doggy breath is an indication of infection that can be deadly if left untreated.
Dental disease is one of the most widespread issues plaguing dogs today—in fact, roughly 90% of dogs will have some degree of dental disease by the time they are just three years old, and often it arises even earlier. PetMD says neglecting dental care is the #2 cause of earlier death in our dogs.
We talked to one of the world’s leading pet dentists, Dr. Brook Niemiec, who is shedding light on why dental disease is so prevalent and what you need to be asking your vet about your pet’s oral health.
Doggy breath is not normal

Although most people just accept bad doggy breath as reality, it’s a glaring sign something is really wrong.
“We have been trained to think some degree of gum disease as being normal—it’s not normal,” Dr. Niemiec explains. “It’s a sign of infection, and if your dog has bad breath, it’s a sign of severe infection.”
Dr. Niemiec believes the common misconceptions about pet dental hygiene and health are due to lack of education.
“Less than one-third of veterinary schools actually have a vet dentist on staff,” Dr. Niemiec says. “The new grads are learning from people who graduated 20 or 30 years ago, and they didn’t get any dentistry training either. Almost all the dental knowledge is picked up off the street.”
Stages of dental disease
Since some doctors can’t recognize some of the signs of dental disease, a lot of pet parents can’t either. It starts rather innocently but can be easy to spot, if you know what to look for.
First, we’ll look at a normal mouth without any infection.

Early gingivitis is indicated not just by minor plaque buildup on the teeth, but by inflammation of the gums.

When gingivitis progresses to the advanced stage, you’ll see bleeding when probing or brushing your dog’s teeth, plus bad breath kicks in. Fortunately, dental disease at this stage can be reversed, so treatment at the first indication of bad breath is key.

If left untreated, the disease will progress to early periodontitis, where bone loss and discharge will start to occur. Since smaller dogs have less underlying bone, it is crucial to stop the infection here before bone loss occurs and bacteria easily moves into your dog’s bloodstream where it can damage vital organs. Dogs under 15 pounds are most at-risk.

Advanced periodontitis is characterized by severe infection and severe bone loss—again, this can be deadly if left untreated as it can infect vital organs.
“When those flood gates open, it allows bacteria to get into the bloodstream and go off into all the vital organs,” Dr. Niemiec adds. “It can cause problems with the heart, the lungs, the kidney, and the liver.”

Numerous teeth extractions are typically needed at this stage.
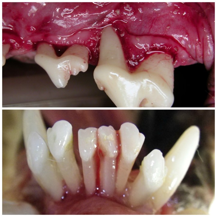
It is important to note white teeth are not always an indication of good oral health. Check out these two cases of advanced periodontitis with severe attachment loss, and notice how white the teeth look:

Sometimes dogs won’t show any signs of dental disease—their mouth will look healthy but dangerous infection lurks under the gums.
“A lot of dogs have gingivitis even though their gums look completely normal,” Dr. Niemiec says.
And sometimes dogs have severe infection without any obvious indication, like this dog:

“Their crowns look great but the problem is in the infection smoldering underneath the gum line that is just allowed to progress and progress,” Dr. Niemiec explains. “Most vets would miss that.”
Dr. Niemiec has seen many patients with teeth that look good on an awake exam, but have very serious problems once they go under anesthesia for an in-depth exam.
“Once we get [the dog] under anesthesia and can use a probe and take [x-rays], we find a lot of bone loss, deep periodontal pockets, and the area between the roots being exposed,” Dr. Niemiec explains.
These dogs often need extractions and oral surgery to repair the damage, but once the work is done, the dog comes back to life.
“The client says, ‘Oh my God, it’s a whole new dog,'” Dr. Niemiec says. “Why? Because we took him out of pain and we got rid of the infection. No one really recognizes it until you take that pain and infection away and the dog feels good again.”
As previously mentioned, dental disease is reversible—to a point. If caught early enough—say, at the first sign of doggy breath—dental disease can be managed and even reversed.
But if left untreated, dental disease will eventually eat away at your dog’s teeth, gums, and underlying bone. The bacteria can even seep into your dog’s bloodstream, with deadly consequences.
What to ask your vet
Since so few veterinarians have formal dental training, it’s important to make sure the oral exam and teeth cleaning are done right. Here’s what Dr. Niemiec suggests asking your vet:
- Who does the exam and cleaning? While technicians can be good, it’s best to have a veterinarian conduct the exam and cleaning.
- Will my dog put under general anesthesia? Anesthesia-free cleanings are cosmetic procedures only. Your dog needs to be put under general anesthesia so the doctor can scrape the teeth and probe under the gums. “The only thing you can do without anesthesia is clean the surface of the teeth, which actually does nothing,” Dr. Niemiec explains. “A dental procedure is so much more than that. It’s not only cleaning above but more importantly below the gum line.”
- Will my dog by under constant monitoring under anesthesia? This is of the utmost importance when a dog is under anesthesia. Someone must continuously monitor your dog’s vital signs, including heart rate and most importantly blood pressure. “Your dog should be getting IV fluids, they should have patient warming, but if they’re monitoring blood pressure, they’re not monitoring anesthesia,” Dr. Niemiec explains.
- Will my dog be intubated? Intubation is a major reason why anesthesia-free cleanings can be dangerous. Intubating your dog is necessary to keep harmful bacteria from getting into his lungs. “That tartar on your dog’s teeth has 300 million bacteria per gram, so if they breathe in that little flake that comes off, they’re going to aspiration pneumonia and it could be fatal,” Dr. Niemiec says.
- Will x-rays be taken? Dental radiographs are very important to spotting infection. “We’re going to find disease and we’re going to be able to treat the painful pathology, get rid of any infection, and head off any severe issues going on down the line,” Dr. Niemiec adds.
- Can I see my dog’s dental chart? The dental chart should be extensive, like a human dental chart. “If the vet says, ‘What dental chart?’ they’re probably not doing a good oral exam,” Dr. Niemiec explains.
Home care
Of course, you would like to avoid costly dental care in your vet’s office altogether. The single most important thing you can do for your pet’s health is brush his teeth. Brushing removes the invisible bacteria on the surface of your dog’s teeth, preventing it from festering and infecting the gums.
Here are some tips for brushing:
- Do not use human toothpaste. Get a toothpaste specially formulated (and flavored) for your pet from your vet or at the pet store.
- Start with your finger to get your dog used to brushing. You can progress to a finger brush and eventually an actual (child’s size, soft-bristle) toothbrush.
- Offer cookies and praise when your dog cooperates. Let him associate treats and attention with brushing so he’s eager to let you clean his chompers.
The bottom line
Oral hygiene and care is the one of the most overlooked aspects of pet health, with potentially deadly consequences. The vast majority of dogs have dental disease to some extent, so make sure you address your dog’s dental care before it’s too late.
Disclaimer: The information provided in this article is not a substitute for professional veterinary help. See your veterinarian for advice suited specifically to your dog.